Размер шрифта
Цвет фона и шрифта
Изображения
Озвучивание текста
Обычная версия сайта
Школа перспективной имплантологии и анестезиологии
7 (906) 723 23 10
7 (906) 723 23 10 Консультация
7 (962) 965 57 01 Запись на обучение
7 903 106-94-24
Заказать звонок
E-mail
info@implant-school.ru
Адрес
Адрес
г. Москва, Нижний сусальный пер. 5 стр.1. БЦ Арма. м. Курская, Выход №4, 2 минуты от метро, вход со двора под шлагбаум. Стеклянная дверь, домофон Simko Academy
Режим работы
Пн. – Пт.: с 9:00 до 18:00
Записаться на консультацию
О школе
  • О школе
  • Лекторы
  • Реквизиты
  • Партнеры
  • Отзывы
  • Документы
Обучение
  • Комплексные программы
    • Комплексная программа: Имплантолог Fast Track 2026
    • Индивидуальный офис-курс по имплантации. Базовый
    • Индивидуальный офис-курс. Продвинутый уровень. Костная пластика и синус-лифтинг
  • Курсы для начинающих имплантологов
    • Имплантация 101. Базовый курс
    • Малотравматичное удаление зубов и 9 методик наложения швов
    • Имплантология с нуля: полный курс для уверенного старта
    • Протокол планирования дентальной имплантации по данным КЛКТ
    • Тренинг: эффективное общение на первичной консультации
    • Хирургический и ортопедический протоколы Дентальной имплантации
  • Продвинутые курсы по имплантологии
    • Продвинутый курс по имплантации: Костная пластика. Кадавер-практика
    • Zygomatic Pro: Кадавер-практика по трансскуловой имплантации
    • Синус-лифтинг. Просто о сложном
    • Искусство регенерации кости: Ламинатная техника по Фуаду Кури и НКР
    • Продвинутая хирургия в Махачкале: Синус-лифтинг, НКР, Ламинатная техника по Кури
  • Экспертные курсы по имплантологии
    • Кадавер-курс. Практика
    • Zygomatic Pro: Практика трансскуловой имплантации на кадавер-препаратах
    • Zygomatic Pro: Теория по трансскуловой имплантации
  • Хирургическая стоматология
    • Мир мягких тканей в хирургической стоматологии
    • Пластика мягких тканей в области зубов и имплантатов
    • Мягкотканная пластика: вестибулопластика, ССТ/СДТ, коррекция фенотипа
  • Седация и мультимодальное обезболивание
    • SedationMagic: Волшебство комфорта - современная седация в детской стоматологии
    • Доступная седация и коммуникация в стоматологии: эффективное лечение тревожных пациентов
    • Седация без анестезиолога: Мультимодальное обезболивание
  • Цифровая стоматология
    • Навигационная хирургия с нуля
    • Практический курс по цифровым шаблонам в 3Shape
  • Курсы для детских стоматологов
    • Современные методы применения коронок в детской стоматологии: от классических подходов до метода Холла
    • Травма молочных зубов: как принять верное решение на приёме
  • Общие тематики
    • Все о неотложных состояниях в кресле стоматолога
    • Профессиональная гигиена без ошибок: готовые алгоритмы для идеального результата
  • Индивидуальные курсы по Зуботехнике
    • Индивидуальный курс с наставничеством для зубных техников по цифровому и аналоговому протоколу работы с имплантатами
    • Индивидуальный курс с наставничеством для зубных техников: металлокерамика в зуботехнике и дентальной имплантологии
  • Видеокниги
    • Как избежать ошибок при оперировании дистального отдела верхней челюсти?
  • Вебинары
    • 4 главных критерия выбора идеального навигационного набора
    • Буду резать, буду шить! 6 видов разрезов и швов в практике хирурга-стоматолога
    • Вестибулопластика с СДТ и Апикально-смещенный лоскут
    • Выбор имплантата, диагностика и планирование имплантационного лечения
    • Демонстрация в реальном времени: цифровое планирование имплантации на этапе создания хирургических шаблонов
    • Закись азота — кислородная седация (ЗАКС). Ускоритель прогресса для детского стоматолога
    • Коронки в детской практике: современные стандарты лечения
    • Ламинатная техника и НКР: как выбрать методику костной пластики под конкретного пациента
    • Методики увеличения объёма мягких тканей на этапе установки формирователя десны
    • Основы наложения швов в хирургической стоматологии: материалы, техники и инструменты
    • Особенности изготовления ортопедических конструкций с опорой на имплантаты
    • Особенности наложения швов при удалении зубов и дентальной имплантации
    • Особенности планирования имплантации на этапе создания хирургических шаблонов
    • Особенности технического оснащения при работе с медицинским газами в амбулаторной стоматологической практике
    • Пациентоориентированный подход. Доступная седация и коммуникация в стоматологии
    • Показания к проведению ламинатной техники и НКР
    • Проблемы и осложнения при протезировании молочных зубов
    • Протокол ZAGA для хирургов стоматологов. Трансскуловая имплантация это просто!
    • Распространенные ошибки и осложнения при ортопедическом лечении на дентальных имплантатах
    • Седация в стоматологии
    • Синдром самозванца: как начать свой путь в имплантологии
    • Современные подходы к одномоментной имплантации на верхней челюсти: от планирования к реализации
    • Тактика малотравматичного удаления зубов при одномоментной имплантации
Вебинары
Кейсы
  • Cинус-лифтинг
  • Имплантация
  • Имплантация после костной пластики блоком
  • Имплантация после синус-лифтинга
  • Костная пластика
  • Протезирование на имплантатах
  • Синус-лифтинг одномоментно с костными блоками
  • Удаление зубов
  • Удаление с последующей имплантацией
Акции
Новости
Галерея
Бесплатные материалы
Контакты
Школа перспективной имплантологии и анестезиологии
7 (906) 723 23 10
7 (906) 723 23 10 Консультация
7 (962) 965 57 01 Запись на обучение
7 903 106-94-24
Заказать звонок
E-mail
info@implant-school.ru
Адрес
Адрес
г. Москва, Нижний сусальный пер. 5 стр.1. БЦ Арма. м. Курская, Выход №4, 2 минуты от метро, вход со двора под шлагбаум. Стеклянная дверь, домофон Simko Academy
Режим работы
Пн. – Пт.: с 9:00 до 18:00
Заказать звонок
Войти
Записаться на консультацию
О школе
  • О школе
  • Лекторы
  • Реквизиты
  • Партнеры
  • Отзывы
  • Документы
Обучение
  • Комплексные программы
    Комплексные программы
    • Индивидуальный офис-курс по имплантации. Базовый
    • Комплексная программа: Имплантолог Fast Track 2026
    • Индивидуальный офис-курс. Продвинутый уровень. Костная пластика и синус-лифтинг
  • Курсы для начинающих имплантологов
    Курсы для начинающих имплантологов
    • Протокол планирования дентальной имплантации по данным КЛКТ
    • Имплантация 101. Базовый курс
    • Малотравматичное удаление зубов и 9 методик наложения швов
    • Индивидуальный офис-курс по имплантации. Базовый
    • Хирургический и ортопедический протоколы Дентальной имплантации
    • Имплантология с нуля: полный курс для уверенного старта
    • Тренинг: эффективное общение на первичной консультации
  • Продвинутые курсы по имплантологии
    Продвинутые курсы по имплантологии
    • Продвинутый курс по имплантации: Костная пластика. Кадавер-практика
    • Комплексная программа: Имплантолог Fast Track 2026
    • Синус-лифтинг. Просто о сложном
    • Индивидуальный офис-курс. Продвинутый уровень. Костная пластика и синус-лифтинг
    • Zygomatic Pro: Кадавер-практика по трансскуловой имплантации
    • Искусство регенерации кости: Ламинатная техника по Фуаду Кури и НКР
    • Продвинутая хирургия в Махачкале: Синус-лифтинг, НКР, Ламинатная техника по Кури
  • Экспертные курсы по имплантологии
    Экспертные курсы по имплантологии
    • Продвинутый курс по имплантации: Костная пластика. Кадавер-практика
    • Кадавер-курс. Практика
    • Zygomatic Pro: Теория по трансскуловой имплантации
    • Zygomatic Pro: Практика трансскуловой имплантации на кадавер-препаратах
  • Хирургическая стоматология
    Хирургическая стоматология
    • Мир мягких тканей в хирургической стоматологии
    • Малотравматичное удаление зубов и 9 методик наложения швов
    • Пластика мягких тканей в области зубов и имплантатов
    • Мягкотканная пластика: вестибулопластика, ССТ/СДТ, коррекция фенотипа
  • Седация и мультимодальное обезболивание
    Седация и мультимодальное обезболивание
    • SedationMagic: Волшебство комфорта - современная седация в детской стоматологии
    • Доступная седация и коммуникация в стоматологии: эффективное лечение тревожных пациентов
    • Седация без анестезиолога: Мультимодальное обезболивание
  • Цифровая стоматология
    Цифровая стоматология
    • Протокол планирования дентальной имплантации по данным КЛКТ
    • Навигационная хирургия с нуля
    • Практический курс по цифровым шаблонам в 3Shape
  • Курсы для детских стоматологов
    Курсы для детских стоматологов
    • SedationMagic: Волшебство комфорта - современная седация в детской стоматологии
    • Современные методы применения коронок в детской стоматологии: от классических подходов до метода Холла
    • Травма молочных зубов: как принять верное решение на приёме
  • Общие тематики
    Общие тематики
    • Все о неотложных состояниях в кресле стоматолога
    • Тренинг: эффективное общение на первичной консультации
    • Профессиональная гигиена без ошибок: готовые алгоритмы для идеального результата
  • Индивидуальные курсы по Зуботехнике
    Индивидуальные курсы по Зуботехнике
    • Индивидуальный курс с наставничеством для зубных техников по цифровому и аналоговому протоколу работы с имплантатами
    • Индивидуальный курс с наставничеством для зубных техников: металлокерамика в зуботехнике и дентальной имплантологии
  • Видеокниги
    Видеокниги
    • Как избежать ошибок при оперировании дистального отдела верхней челюсти?
    • Навигационная хирургия с нуля
    • Хирургический и ортопедический протоколы Дентальной имплантации
    • Седация без анестезиолога: Мультимодальное обезболивание
  • Вебинары
    Вебинары
    • Буду резать, буду шить! 6 видов разрезов и швов в практике хирурга-стоматолога
    • Особенности наложения швов при удалении зубов и дентальной имплантации
    • Синдром самозванца: как начать свой путь в имплантологии
    • Закись азота — кислородная седация (ЗАКС). Ускоритель прогресса для детского стоматолога
    • Тактика малотравматичного удаления зубов при одномоментной имплантации
    • 4 главных критерия выбора идеального навигационного набора
    • Седация в стоматологии
    • Распространенные ошибки и осложнения при ортопедическом лечении на дентальных имплантатах
    • Методики увеличения объёма мягких тканей на этапе установки формирователя десны
    • Особенности технического оснащения при работе с медицинским газами в амбулаторной стоматологической практике
    • Выбор имплантата, диагностика и планирование имплантационного лечения
    • Особенности планирования имплантации на этапе создания хирургических шаблонов
    • Современные подходы к одномоментной имплантации на верхней челюсти: от планирования к реализации
    • Вестибулопластика с СДТ и Апикально-смещенный лоскут
    • Протокол ZAGA для хирургов стоматологов. Трансскуловая имплантация это просто!
    • Основы наложения швов в хирургической стоматологии: материалы, техники и инструменты
    • Коронки в детской практике: современные стандарты лечения
    • Особенности изготовления ортопедических конструкций с опорой на имплантаты
    • Пациентоориентированный подход. Доступная седация и коммуникация в стоматологии
    • Показания к проведению ламинатной техники и НКР
    • Проблемы и осложнения при протезировании молочных зубов
    • Ламинатная техника и НКР: как выбрать методику костной пластики под конкретного пациента
    • Демонстрация в реальном времени: цифровое планирование имплантации на этапе создания хирургических шаблонов
    • Еще
Вебинары
Кейсы
  • Cинус-лифтинг
  • Имплантация
  • Имплантация после костной пластики блоком
  • Имплантация после синус-лифтинга
  • Костная пластика
  • Протезирование на имплантатах
  • Синус-лифтинг одномоментно с костными блоками
  • Удаление зубов
  • Удаление с последующей имплантацией
Акции
Новости
Галерея
Бесплатные материалы
Контакты
    О школе
    • О школе
    • Лекторы
    • Реквизиты
    • Партнеры
    • Отзывы
    • Документы
    Обучение
    • Комплексные программы
      Комплексные программы
      • Индивидуальный офис-курс по имплантации. Базовый
      • Комплексная программа: Имплантолог Fast Track 2026
      • Индивидуальный офис-курс. Продвинутый уровень. Костная пластика и синус-лифтинг
    • Курсы для начинающих имплантологов
      Курсы для начинающих имплантологов
      • Протокол планирования дентальной имплантации по данным КЛКТ
      • Имплантация 101. Базовый курс
      • Малотравматичное удаление зубов и 9 методик наложения швов
      • Индивидуальный офис-курс по имплантации. Базовый
      • Хирургический и ортопедический протоколы Дентальной имплантации
      • Имплантология с нуля: полный курс для уверенного старта
      • Тренинг: эффективное общение на первичной консультации
    • Продвинутые курсы по имплантологии
      Продвинутые курсы по имплантологии
      • Продвинутый курс по имплантации: Костная пластика. Кадавер-практика
      • Комплексная программа: Имплантолог Fast Track 2026
      • Синус-лифтинг. Просто о сложном
      • Индивидуальный офис-курс. Продвинутый уровень. Костная пластика и синус-лифтинг
      • Zygomatic Pro: Кадавер-практика по трансскуловой имплантации
      • Искусство регенерации кости: Ламинатная техника по Фуаду Кури и НКР
      • Продвинутая хирургия в Махачкале: Синус-лифтинг, НКР, Ламинатная техника по Кури
    • Экспертные курсы по имплантологии
      Экспертные курсы по имплантологии
      • Продвинутый курс по имплантации: Костная пластика. Кадавер-практика
      • Кадавер-курс. Практика
      • Zygomatic Pro: Теория по трансскуловой имплантации
      • Zygomatic Pro: Практика трансскуловой имплантации на кадавер-препаратах
    • Хирургическая стоматология
      Хирургическая стоматология
      • Мир мягких тканей в хирургической стоматологии
      • Малотравматичное удаление зубов и 9 методик наложения швов
      • Пластика мягких тканей в области зубов и имплантатов
      • Мягкотканная пластика: вестибулопластика, ССТ/СДТ, коррекция фенотипа
    • Седация и мультимодальное обезболивание
      Седация и мультимодальное обезболивание
      • SedationMagic: Волшебство комфорта - современная седация в детской стоматологии
      • Доступная седация и коммуникация в стоматологии: эффективное лечение тревожных пациентов
      • Седация без анестезиолога: Мультимодальное обезболивание
    • Цифровая стоматология
      Цифровая стоматология
      • Протокол планирования дентальной имплантации по данным КЛКТ
      • Навигационная хирургия с нуля
      • Практический курс по цифровым шаблонам в 3Shape
    • Курсы для детских стоматологов
      Курсы для детских стоматологов
      • SedationMagic: Волшебство комфорта - современная седация в детской стоматологии
      • Современные методы применения коронок в детской стоматологии: от классических подходов до метода Холла
      • Травма молочных зубов: как принять верное решение на приёме
    • Общие тематики
      Общие тематики
      • Все о неотложных состояниях в кресле стоматолога
      • Тренинг: эффективное общение на первичной консультации
      • Профессиональная гигиена без ошибок: готовые алгоритмы для идеального результата
    • Индивидуальные курсы по Зуботехнике
      Индивидуальные курсы по Зуботехнике
      • Индивидуальный курс с наставничеством для зубных техников по цифровому и аналоговому протоколу работы с имплантатами
      • Индивидуальный курс с наставничеством для зубных техников: металлокерамика в зуботехнике и дентальной имплантологии
    • Видеокниги
      Видеокниги
      • Как избежать ошибок при оперировании дистального отдела верхней челюсти?
      • Навигационная хирургия с нуля
      • Хирургический и ортопедический протоколы Дентальной имплантации
      • Седация без анестезиолога: Мультимодальное обезболивание
    • Вебинары
      Вебинары
      • Буду резать, буду шить! 6 видов разрезов и швов в практике хирурга-стоматолога
      • Особенности наложения швов при удалении зубов и дентальной имплантации
      • Синдром самозванца: как начать свой путь в имплантологии
      • Закись азота — кислородная седация (ЗАКС). Ускоритель прогресса для детского стоматолога
      • Тактика малотравматичного удаления зубов при одномоментной имплантации
      • 4 главных критерия выбора идеального навигационного набора
      • Седация в стоматологии
      • Распространенные ошибки и осложнения при ортопедическом лечении на дентальных имплантатах
      • Методики увеличения объёма мягких тканей на этапе установки формирователя десны
      • Особенности технического оснащения при работе с медицинским газами в амбулаторной стоматологической практике
      • Выбор имплантата, диагностика и планирование имплантационного лечения
      • Особенности планирования имплантации на этапе создания хирургических шаблонов
      • Современные подходы к одномоментной имплантации на верхней челюсти: от планирования к реализации
      • Вестибулопластика с СДТ и Апикально-смещенный лоскут
      • Протокол ZAGA для хирургов стоматологов. Трансскуловая имплантация это просто!
      • Основы наложения швов в хирургической стоматологии: материалы, техники и инструменты
      • Коронки в детской практике: современные стандарты лечения
      • Особенности изготовления ортопедических конструкций с опорой на имплантаты
      • Пациентоориентированный подход. Доступная седация и коммуникация в стоматологии
      • Показания к проведению ламинатной техники и НКР
      • Проблемы и осложнения при протезировании молочных зубов
      • Ламинатная техника и НКР: как выбрать методику костной пластики под конкретного пациента
      • Демонстрация в реальном времени: цифровое планирование имплантации на этапе создания хирургических шаблонов
      • Еще
    Вебинары
    Кейсы
    • Cинус-лифтинг
    • Имплантация
    • Имплантация после костной пластики блоком
    • Имплантация после синус-лифтинга
    • Костная пластика
    • Протезирование на имплантатах
    • Синус-лифтинг одномоментно с костными блоками
    • Удаление зубов
    • Удаление с последующей имплантацией
    Акции
    Новости
    Галерея
    Бесплатные материалы
    Контакты
      7 (906) 723 23 10 Консультация
      7 (962) 965 57 01 Запись на обучение
      7 903 106-94-24
      Заказать звонок
      E-mail
      info@implant-school.ru
      Адрес
      Адрес
      г. Москва, Нижний сусальный пер. 5 стр.1. БЦ Арма. м. Курская, Выход №4, 2 минуты от метро, вход со двора под шлагбаум. Стеклянная дверь, домофон Simko Academy
      Режим работы
      Пн. – Пт.: с 9:00 до 18:00
      Записаться на консультацию
      Телефоны
      7 (906) 723 23 10 Консультация
      7 (962) 965 57 01 Запись на обучение
      7 903 106-94-24
      Заказать звонок
      E-mail
      info@implant-school.ru
      Адрес
      Адрес
      г. Москва, Нижний сусальный пер. 5 стр.1. БЦ Арма. м. Курская, Выход №4, 2 минуты от метро, вход со двора под шлагбаум. Стеклянная дверь, домофон Simko Academy
      Режим работы
      Пн. – Пт.: с 9:00 до 18:00
      • О школе
        • О школе
        • О школе
        • Лекторы
        • Реквизиты
        • Партнеры
        • Отзывы
        • Документы
      • Обучение
        • Обучение
        • Комплексные программы
          • Комплексные программы
          • Комплексная программа: Имплантолог Fast Track 2026
          • Индивидуальный офис-курс по имплантации. Базовый
          • Индивидуальный офис-курс. Продвинутый уровень. Костная пластика и синус-лифтинг
        • Курсы для начинающих имплантологов
          • Курсы для начинающих имплантологов
          • Имплантация 101. Базовый курс
          • Малотравматичное удаление зубов и 9 методик наложения швов
          • Имплантология с нуля: полный курс для уверенного старта
          • Индивидуальный офис-курс по имплантации. Базовый
          • Протокол планирования дентальной имплантации по данным КЛКТ
          • Тренинг: эффективное общение на первичной консультации
          • Хирургический и ортопедический протоколы Дентальной имплантации
        • Продвинутые курсы по имплантологии
          • Продвинутые курсы по имплантологии
          • Комплексная программа: Имплантолог Fast Track 2026
          • Продвинутый курс по имплантации: Костная пластика. Кадавер-практика
          • Zygomatic Pro: Кадавер-практика по трансскуловой имплантации
          • Индивидуальный офис-курс. Продвинутый уровень. Костная пластика и синус-лифтинг
          • Синус-лифтинг. Просто о сложном
          • Искусство регенерации кости: Ламинатная техника по Фуаду Кури и НКР
          • Продвинутая хирургия в Махачкале: Синус-лифтинг, НКР, Ламинатная техника по Кури
        • Экспертные курсы по имплантологии
          • Экспертные курсы по имплантологии
          • Продвинутый курс по имплантации: Костная пластика. Кадавер-практика
          • Кадавер-курс. Практика
          • Zygomatic Pro: Практика трансскуловой имплантации на кадавер-препаратах
          • Zygomatic Pro: Теория по трансскуловой имплантации
        • Хирургическая стоматология
          • Хирургическая стоматология
          • Малотравматичное удаление зубов и 9 методик наложения швов
          • Мир мягких тканей в хирургической стоматологии
          • Пластика мягких тканей в области зубов и имплантатов
          • Мягкотканная пластика: вестибулопластика, ССТ/СДТ, коррекция фенотипа
        • Седация и мультимодальное обезболивание
          • Седация и мультимодальное обезболивание
          • SedationMagic: Волшебство комфорта - современная седация в детской стоматологии
          • Доступная седация и коммуникация в стоматологии: эффективное лечение тревожных пациентов
          • Седация без анестезиолога: Мультимодальное обезболивание
        • Цифровая стоматология
          • Цифровая стоматология
          • Навигационная хирургия с нуля
          • Протокол планирования дентальной имплантации по данным КЛКТ
          • Практический курс по цифровым шаблонам в 3Shape
        • Курсы для детских стоматологов
          • Курсы для детских стоматологов
          • SedationMagic: Волшебство комфорта - современная седация в детской стоматологии
          • Современные методы применения коронок в детской стоматологии: от классических подходов до метода Холла
          • Травма молочных зубов: как принять верное решение на приёме
        • Общие тематики
          • Общие тематики
          • Все о неотложных состояниях в кресле стоматолога
          • Профессиональная гигиена без ошибок: готовые алгоритмы для идеального результата
          • Тренинг: эффективное общение на первичной консультации
        • Индивидуальные курсы по Зуботехнике
          • Индивидуальные курсы по Зуботехнике
          • Индивидуальный курс с наставничеством для зубных техников по цифровому и аналоговому протоколу работы с имплантатами
          • Индивидуальный курс с наставничеством для зубных техников: металлокерамика в зуботехнике и дентальной имплантологии
        • Видеокниги
          • Видеокниги
          • Навигационная хирургия с нуля
          • Как избежать ошибок при оперировании дистального отдела верхней челюсти?
          • Седация без анестезиолога: Мультимодальное обезболивание
          • Хирургический и ортопедический протоколы Дентальной имплантации
        • Вебинары
          • Вебинары
          • 4 главных критерия выбора идеального навигационного набора
          • Буду резать, буду шить! 6 видов разрезов и швов в практике хирурга-стоматолога
          • Вестибулопластика с СДТ и Апикально-смещенный лоскут
          • Выбор имплантата, диагностика и планирование имплантационного лечения
          • Демонстрация в реальном времени: цифровое планирование имплантации на этапе создания хирургических шаблонов
          • Закись азота — кислородная седация (ЗАКС). Ускоритель прогресса для детского стоматолога
          • Коронки в детской практике: современные стандарты лечения
          • Ламинатная техника и НКР: как выбрать методику костной пластики под конкретного пациента
          • Методики увеличения объёма мягких тканей на этапе установки формирователя десны
          • Основы наложения швов в хирургической стоматологии: материалы, техники и инструменты
          • Особенности изготовления ортопедических конструкций с опорой на имплантаты
          • Особенности наложения швов при удалении зубов и дентальной имплантации
          • Особенности планирования имплантации на этапе создания хирургических шаблонов
          • Особенности технического оснащения при работе с медицинским газами в амбулаторной стоматологической практике
          • Пациентоориентированный подход. Доступная седация и коммуникация в стоматологии
          • Показания к проведению ламинатной техники и НКР
          • Проблемы и осложнения при протезировании молочных зубов
          • Протокол ZAGA для хирургов стоматологов. Трансскуловая имплантация это просто!
          • Распространенные ошибки и осложнения при ортопедическом лечении на дентальных имплантатах
          • Седация в стоматологии
          • Синдром самозванца: как начать свой путь в имплантологии
          • Современные подходы к одномоментной имплантации на верхней челюсти: от планирования к реализации
          • Тактика малотравматичного удаления зубов при одномоментной имплантации
      • Вебинары
      • Кейсы
        • Кейсы
        • Cинус-лифтинг
        • Имплантация
        • Имплантация после костной пластики блоком
        • Имплантация после синус-лифтинга
        • Костная пластика
        • Протезирование на имплантатах
        • Синус-лифтинг одномоментно с костными блоками
        • Удаление зубов
        • Удаление с последующей имплантацией
      • Акции
      • Новости
      • Галерея
      • Бесплатные материалы
      • Контакты
      Записаться на консультацию
      • Кабинет
      • 7 (906) 723 23 10 Консультация
        • Телефоны
        • 7 (906) 723 23 10 Консультация
        • 7 (962) 965 57 01 Запись на обучение
        • 7 903 106-94-24
        • Заказать звонок
      • Адрес
        г. Москва, Нижний сусальный пер. 5 стр.1. БЦ Арма. м. Курская, Выход №4, 2 минуты от метро, вход со двора под шлагбаум. Стеклянная дверь, домофон Simko Academy
      • info@implant-school.ru
      • Пн. – Пт.: с 9:00 до 18:00

      Синус-лифтинг одномоментно с костными блоками | Кейс 1

      Главная
      —
      Проекты
      —
      Синус-лифтинг одномоментно с костными блоками
      —Синус-лифтинг одномоментно с костными блоками | Кейс 1
      09.02.2023
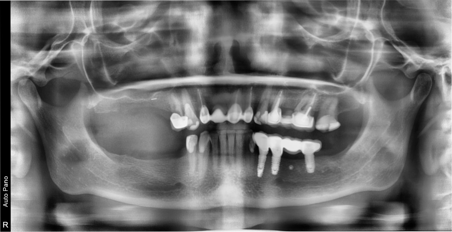
      Пациентка направлена из другой клиники для проведения хирургической подготовки по созданию костных условий для будущей имплантации.
      Задать вопрос

      Пациентка 1968 года рождения направлена из другой клиники для проведения хирургической подготовки по созданию костных условий для будущей имплантации.

      У пациентки наблюдается дефицит костной ткани на верхней челюсти справа и на нижней челюсти справа.

      На верхней челюсти необходимо провести операцию открытого синус лифтинга и зафиксировать костный блок для увеличения объёма кости по ширине.

      На нижней челюсти необходимо провести увеличение костной ткани по ширине за счет фиксации костных блоков.

      На нижней челюсти с права в ретромолярной области взяли костный блок для дальнейшей его подготовки и фиксации.

      Костный блок был разделен на 4 костных блока меньшего размера. Данные блоки были зафиксированы в 1 и 4 сегменте. Данная операция была проведена под седацией.

      Фотогалерея
      10 —
      1/10 —
      Синус-лифтинг одномоментно с костными блоками | Кейс 1
      Синус-лифтинг одномоментно с костными блоками | Кейс 1
      Синус-лифтинг одномоментно с костными блоками | Кейс 1
      Синус-лифтинг одномоментно с костными блоками | Кейс 1
      Синус-лифтинг одномоментно с костными блоками | Кейс 1
      Синус-лифтинг одномоментно с костными блоками | Кейс 1
      Синус-лифтинг одномоментно с костными блоками | Кейс 1
      Синус-лифтинг одномоментно с костными блоками | Кейс 1
      Синус-лифтинг одномоментно с костными блоками | Кейс 1
      Синус-лифтинг одномоментно с костными блоками | Кейс 1
      Синус-лифтинг одномоментно с костными блоками | Кейс 1
      Синус-лифтинг одномоментно с костными блоками | Кейс 1
      Синус-лифтинг одномоментно с костными блоками | Кейс 1
      Синус-лифтинг одномоментно с костными блоками | Кейс 1
      Синус-лифтинг одномоментно с костными блоками | Кейс 1
      Синус-лифтинг одномоментно с костными блоками | Кейс 1
      Синус-лифтинг одномоментно с костными блоками | Кейс 1
      Синус-лифтинг одномоментно с костными блоками | Кейс 1
      Синус-лифтинг одномоментно с костными блоками | Кейс 1
      Синус-лифтинг одномоментно с костными блоками | Кейс 1
      Обучающие программы
      Индивидуальный офис-курс по имплантации. Базовый

      При групповом участии предоставляется скидка 5%.

      Подберём индивидуальный трек профессионального развития с учётом Ваших целей, специализации и опыта.

      Назад к списку
      Подписывайтесь
      на новости и акции
      Компания
      О школе
      Лекторы
      Реквизиты
      Партнеры
      Отзывы
      Документы
      Услуги
      Комплексные программы
      Курсы для начинающих имплантологов
      Продвинутые курсы по имплантологии
      Экспертные курсы по имплантологии
      Хирургическая стоматология
      Седация и мультимодальное обезболивание
      Цифровая стоматология
      Курсы для детских стоматологов
      Общие тематики
      Индивидуальные курсы по Зуботехнике
      Видеокниги
      Вебинары
      7 (906) 723 23 10
      7 (906) 723 23 10 Консультация
      7 (962) 965 57 01 Запись на обучение
      7 903 106-94-24
      Заказать звонок
      E-mail
      info@implant-school.ru
      Адрес
      Адрес
      г. Москва, Нижний сусальный пер. 5 стр.1. БЦ Арма. м. Курская, Выход №4, 2 минуты от метро, вход со двора под шлагбаум. Стеклянная дверь, домофон Simko Academy
      Режим работы
      Пн. – Пт.: с 9:00 до 18:00
      info@implant-school.ru
      Адрес
      г. Москва, Нижний сусальный пер. 5 стр.1. БЦ Арма. м. Курская, Выход №4, 2 минуты от метро, вход со двора под шлагбаум. Стеклянная дверь, домофон Simko Academy
      © 2026 Implant school - Школа перспективной имплантологии и анестезиологии - курсы для стоматологов

      Разработка и продвижение сайта  DirectSEO.pro
      Политика конфиденциальности
      Публичная оферта